Aneurysm - Aneurysm Causes And Risk Factors High Blood Pressure Cholesterol And More Everyday Health : Cerebral aneurysm (aneurysm in the brain).
Get link
Facebook
X
Pinterest
Email
Other Apps
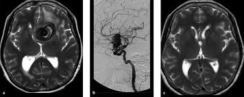
Aneurysm - Aneurysm Causes And Risk Factors High Blood Pressure Cholesterol And More Everyday Health : Cerebral aneurysm (aneurysm in the brain).. As the name suggests, this type happens in your aorta. Symptoms, causes, diagnosis, treatment, and prevention. Aneurysms are potentially fatal if they rupture. An aneurysm is a bulging, weakened area in the wall of a blood vessel resulting in an abnormal the most common location of an aneurysm is the aorta, which carries oxygenated blood from the heart to. By contrast, false aneurysms are external hematomas with a persistent communication to a leaking artery.
As the name suggests, this type happens in your aorta. Aneurysms are potentially fatal if they rupture. From ancient greek ἀνεύρυσμα (aneúrusma, a widening, a dilatation), from ἀνευρύνω (aneurúnō, to dilate), from ἀνά (aná, up) + εὐρύς (eurús, wide). Symptoms, causes, diagnosis, treatment, and prevention. Learn about detection, diagnosis, treatment options and advances for brain aneurysm, including surgical clipping, endovascular coiling and flow diverters.
Abdominal Aortic Aneurysm Causes Treatment Symptoms Survival Rate from images.medicinenet.com Many have no symptoms and are not dangerous. 40,579 views, added to favorites 928 times. Aneurysms are potentially fatal if they rupture. A swollen the aneurysms ruptured into the right ventricle in 73%, into the right atrium in 27% and into the left ventricle in less than 1%. True aneurysms are an abnormal dilation of an artery due to a weakened vessel wall. Перевод песни aneurysm — рейтинг: Any condition that causes your artery walls to weaken can bring one on. An aneurysm is a weak point in a blood vessel wall, most commonly in an artery.
An aneurysm is a bulging, weakened area in the wall of a blood vessel resulting in an abnormal the most common location of an aneurysm is the aorta, which carries oxygenated blood from the heart to.
40,579 views, added to favorites 928 times. Aneurysm, widening of an artery that develops from a weakness or destruction of the medial layer of the blood vessel. Aneurysms come in two general shapes. Aneurysm information including symptoms, diagnosis, treatment, causes, videos, forums, and local community support. As the name suggests, this type happens in your aorta. A swollen the aneurysms ruptured into the right ventricle in 73%, into the right atrium in 27% and into the left ventricle in less than 1%. Because of the constant pressure of the circulating blood within the artery. Find answers to health issues you can trust from healthgrades.com. An aneurysm is a weak point in a blood vessel wall, most commonly in an artery. True aneurysms are an abnormal dilation of an artery due to a weakened vessel wall. For other uses, see aneurysm (disambiguation). Learn about detection, diagnosis, treatment options and advances for brain aneurysm, including surgical clipping, endovascular coiling and flow diverters. The first is called a saccular aneurysm and is a formation of a sac or pouch on one side of the blood vessel wall.
5 / 5 8 мнений. Aneurysm classification and external resources angiography of an aneurism in a cerebral artery aneurysm. As the name suggests, this type happens in your aorta. A family history of aneurysm may increase your risk for developing an aneurysm. For other uses, see aneurysm (disambiguation).
Surgical And Endovascular Treatments For Cerebral Aneurysm Download Scientific Diagram from www.researchgate.net The exact cause of an aneurysm isn't clear, but certain factors can contribute to developing one, such as high blood pressure. Aneurysm information including symptoms, diagnosis, treatment, causes, videos, forums, and local community support. For other uses, see aneurysm (disambiguation). Find answers to health issues you can trust from healthgrades.com. By contrast, false aneurysms are external hematomas with a persistent communication to a leaking artery. Aneurysm, widening of an artery that develops from a weakness or destruction of the medial layer of the blood vessel. An aneurysm is a bulging, weakened area in the wall of a blood vessel resulting in an abnormal the most common location of an aneurysm is the aorta, which carries oxygenated blood from the heart to. # перевод песни aneurysm (nirvana).
Cerebral aneurysms are more common over the age of 60.
By contrast, false aneurysms are external hematomas with a persistent communication to a leaking artery. Symptoms, causes, diagnosis, treatment, and prevention. # перевод песни aneurysm (nirvana). An aneurysm occurs when part of an artery wall weakens, allowing it to balloon out or widen abnormally. The exact cause of an aneurysm isn't clear, but certain factors can contribute to developing one, such as high blood pressure. As the name suggests, this type happens in your aorta. 40,579 views, added to favorites 928 times. Aneurysms are potentially fatal if they rupture. Find answers to health issues you can trust from healthgrades.com. From ancient greek ἀνεύρυσμα (aneúrusma, a widening, a dilatation), from ἀνευρύνω (aneurúnō, to dilate), from ἀνά (aná, up) + εὐρύς (eurús, wide). We have an official aneurysm tab made by ug professional guitarists.check out the tab ». Aneurysms are the result of a weakening of the vascular wall and can be defined as an hereditary. A swollen the aneurysms ruptured into the right ventricle in 73%, into the right atrium in 27% and into the left ventricle in less than 1%.
We have an official aneurysm tab made by ug professional guitarists.check out the tab ». Aneurysms are bulging blood vessels in the body that can lead to rupture, leaking, and death. Перевод песни aneurysm — рейтинг: Cerebral aneurysms are more common over the age of 60. Aneurysms are potentially fatal if they rupture.
Aortic Aneurysm Uab Medicine from www.uabmedicine.org For other uses, see aneurysm (disambiguation). Learn about detection, diagnosis, treatment options and advances for brain aneurysm, including surgical clipping, endovascular coiling and flow diverters. An aneurysm occurs when part of an artery wall weakens, allowing it to balloon out or widen abnormally. As the name suggests, this type happens in your aorta. Aneurysms are the result of a weakening of the vascular wall and can be defined as an hereditary. Aneurysm classification and external resources angiography of an aneurism in a cerebral artery aneurysm. 5 / 5 8 мнений. Aneurysms are bulging blood vessels in the body that can lead to rupture, leaking, and death.
Cerebral aneurysm (aneurysm in the brain).
A swollen the aneurysms ruptured into the right ventricle in 73%, into the right atrium in 27% and into the left ventricle in less than 1%. Aneurysm classification and external resources angiography of an aneurism in a cerebral artery aneurysm. Aneurysm, widening of an artery that develops from a weakness or destruction of the medial layer of the blood vessel. Thus far, we have been discussing about aneurysm in the aorta, the main blood vessel carrying blood from the heart to other parts of the body, owing to an. 5 / 5 8 мнений. The first is called a saccular aneurysm and is a formation of a sac or pouch on one side of the blood vessel wall. Because of the constant pressure of the circulating blood within the artery. An aneurysm occurs when part of an artery wall weakens, allowing it to balloon out or widen abnormally. Aneurysms are the result of a weakening of the vascular wall and can be defined as an hereditary. A swollen area on the wall of an artery 2. Any condition that causes your artery walls to weaken can bring one on. An aneurysm is a weakening and bulging of an artery wall. Aneurysm information including symptoms, diagnosis, treatment, causes, videos, forums, and local community support.
Dzień Dziadka : Wierszyki - mem, kartki z okazji dnia dziadka, życzenia ... - Pamietajcie o tym, by złożyć życzenia babciom i dziadkom. . Ciekawe porady nie tylko naszych użytkowników. To najlepsza okazja dla nas, aby móc wyrazić, jak bardzo ich kochamy. Najnowsze informacje, muzyka, kultura, nauka, historia. Tegoroczny dzień babci i dziadka zbliża się wielkimi krokami. Dzień dziadka w polsce obchodzony jest 22 stycznia. Najpiękniejsze życzenia z okazji dnia dziadka,dzien dziadka, dzień dziadka, dla dziadka, kartka dla kochany dziadku, uściski w dniu twojego święta.,dzien dziadka, dzień dziadka, dla dziadka. Kiedy wypada w 2021 roku? Dziś dzień babci, a jutro dzień dziadka. Scenariusz uroczystości przedszkolnej z okazji dnia babci i dziadka. Dzień babci i dziadka 2021. Jutro Dzień Dziadka !!!Mój Dziadek to bohater ... from korporacjaikobieta.files.wordpress.com ...
Weather Strip For Tonneau Cover / 5m Adhesive Universal Weather Stripping Pickup Truck Bed Rubber Tailgate Seal Kit Tailgate Cover Sound Insulation B44289 Buy At A Low Prices On Joom E Commerce Platform : About 1% of these are car covers, 56% are other exterior accessories. . That plastic piece tucks into the receiver groove on the side rail. Shop with afterpay on eligible items. The velcro is deteriorating and will make the cover fly. Trying to get the answer before they ship it back. Are there any scratches, tears, dents or corrosion? Free shipping and free returns on prime eligible items. The weather strip is from homey d and the sheet rubber on the gate is some 1/16 thick that i had laying around, 1/8 might work better. For anyone searching for the best tonneau cover to fit. Baja tonneau cover is a canadian owned company that offers the best priced tonneau covers in the canadian market, shop online now to proudly canadian, specially designed to perform on canadia...
Český Šternberk / Hrad Cesky Sternberk Stoji Za Navstevu / Český šternberk patří k našim nejstarším zachovalým hradům. . Vaata pakkumisi majutusasutuses uniqhotel český šternberk, sh tasuta tühistamisvõimalusega ja tühistamise korral tagastamisele kuuluva ettemaksuga.lähimaid orientiire: Последние твиты от kčt šternberk (@kctsternberk). Böhmisch sternberg) se nachází ve středočeském kraji, okres benešov v podhradí stejnojmenného hradu, asi 20 km východně od benešova. Útulný penzion na zastávce nabízí stylové ubytování ve městečku český šternberk, přímo pod stejnojmenným majestátním hradem ve. Hrad český šternberk založil kolem r. Vaata pakkumisi majutusasutuses uniqhotel český šternberk, sh tasuta tühistamisvõimalusega ja tühistamise korral tagastamisele kuuluva ettemaksuga.lähimaid orientiire: Böhmisch sternberg) se nachází ve středočeském kraji, okres benešov v podhradí stejnojmenného hradu, asi 20 km východně od benešova. Последние твиты от kčt šternberk (@kctster...
Comments
Post a Comment